联系方式:18052091425(南京)
医学科研服务
当前位置:
首页
>
医学科研服务
>
组织病理学实验
测序分析服务
细胞生物学实验
分子生物学实验
动物学实验
组织病理学实验
其他平台
尼氏染色
电镜检测
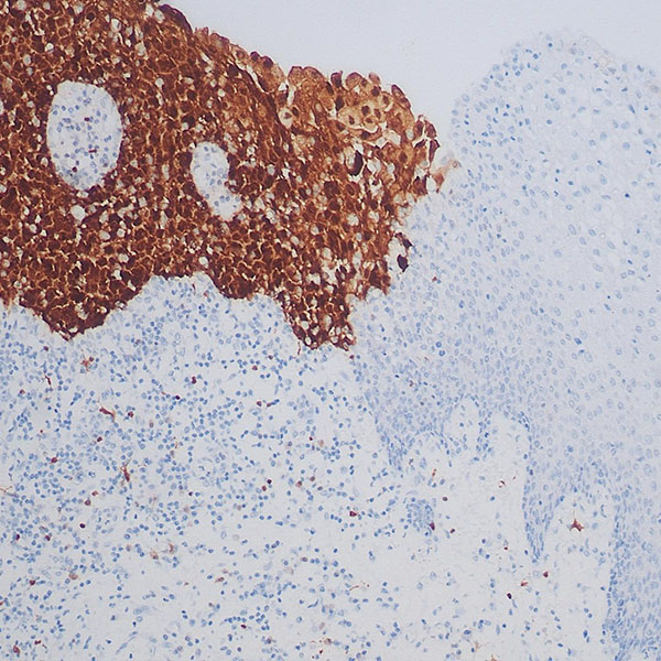
免疫组化染色
免疫荧光染色
番红固绿染色
油红O染色
天狼猩红染色
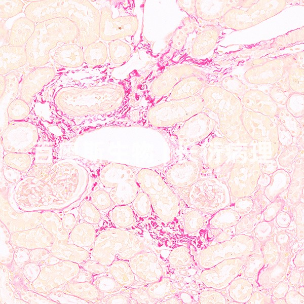
Masson染色
Tunel染色
首页
上一页
1
2
下一页
尾页